影响因子:5.2(2023)
年份:2022
通讯作者:Jie Liu、 Mingyu Li
摘要
背景:据报道,孤儿核受体Nur77参与多种代谢过程,包括碳水化合物代谢和脂质代谢。然而,Nur77在代谢途径调控中的具体机制仍需进一步研究。
方法:在本研究中,我们通过CRISPR/Cas9技术构建了nur77敲除斑马鱼模型,然后对野生型和nur77缺失斑马鱼进行了全生物体RNA测序分析,剖析了代谢相关通路的遗传变化。
结果:我们发现,许多涉及氨基酸、脂质和碳水化合物代谢的基因发生了两倍以上的变化。此外,我们发现nur77突变体表现出总胆固醇(TC)和甘油三酯(TG)增加,总氨基酸改变以及葡萄糖升高。我们还证明,葡萄糖升高不是由于葡萄糖摄取的改变,而可能是由糖酵解/糖异生障碍和β细胞功能受损引起的,包括insb表达下调、β细胞质量减少和胰岛素分泌抑制。
结论:重要的是,我们还验证了β细胞中Nur77的靶向表达足以挽救全球Nur77幼鱼斑马鱼的β-细胞缺陷。这些结果为Nur77信号调节的全球代谢网络以及Nur77在β细胞功能中的作用提供了新的信息。
关键词:Nur77,斑马鱼,转录组学,β细胞,脂质代谢,葡萄糖代谢。
前言
核受体Nur77,也被称为TR3、NR4A1、NGFI-B、NAK1或TIS1,属于核受体超家族的NR4A亚家族。Nur77是一种早期即时反应基因,可被多种生理分子和刺激诱导,包括细胞因子、生长因子、神经递质、应激、葡萄糖和脂肪酸。它在细胞增殖、分化、炎症、免疫、凋亡和代谢中起着多效作用。
最近,越来越多的研究表明Nur77是控制葡萄糖和亚麻酸稳态的关键调节因子。Nur77表达于多种代谢相关组织,如骨骼肌、肝脏、胰腺和脂肪。在骨骼肌细胞中,与能量代谢相关的基因和蛋白表达减少。Nur77的过度表达导致葡萄糖转运、胰岛素信号(如Glut4)、糖酵解和糖原分解相关基因的显著增加。Nur77过表达可以增强葡萄糖转运,并通过调节小鼠糖酵解改变肌肉质量和肌纤维大小。高脂肪喂养的Nur77−/−小鼠表现出代谢变化,如能量消耗减少、胰岛素抵抗、血糖清除率降低和骨骼肌脂质含量增加。
不仅在骨骼肌中,Nur77在肝脏中也起着类似的代谢作用。Nur77的高表达驱动肝脏葡萄糖生成,提高血糖水平,并诱导参与糖异生的基因。高脂肪喂养的Nur77缺失小鼠也表现出肝脏葡萄糖生成减少和肝脏胰岛素抵抗。Nur77激动剂,如胞孢素B (CsnB),可以提高小鼠的血糖。Nur77还参与肝脏脂质代谢的调节。在功能获得方法中,肝脏过表达Nur77通过抑制甾醇调节元件结合蛋白lc (SREBPIc)和改变其他脂质酶基因表达来降低肝脏甘油三酯。高脂肪喂养的Nur77缺失小鼠表现出肝脏脂肪变性上调和肝脏脂肪生成基因高表达水平。
在脂肪组织中,Nur77在肥胖和糖尿病小鼠的脂肪细胞中的表达水平明显降低。Nur77对脂肪细胞前体细胞的脂肪分化、脂质积累和脂肪形成也有负调控作用。缺乏nur77的小鼠对高脂肪饮食(HFD)诱导的肥胖表现出更高的易感性,因此观察到更高的体重和脂肪量。真正重要的是,celastrol雷公藤红素显著降低了体重,脂肪组织质量,以及由nur77缺陷小鼠抑制的HFD引起的脂肪细胞的大小。
最近,研究人员研究了Nur77在胰腺β细胞中的重要作用。Nur77通过减轻内质网(ER)应激和氧化应激诱导的凋亡来保护胰腺β细胞。相反,葡萄糖和棕榈酸盐诱导Nur77在胰腺β-细胞系、Ins-1和MIN6中的表达。Nur77表达水平升高会降低细胞内胰岛素含量,葡萄糖刺激的胰岛素分泌对β细胞有害。
因此,Nur77在调节关键代谢组织的脂质和碳水化合物代谢中具有重要作用。一些小分子,如CsnB和celastrol,已被改进为在nur77依赖途径中调节代谢。这些研究表明,新的nur77靶向药物在治疗代谢性疾病、肥胖、血脂异常和心血管疾病方面可能具有巨大的潜力。
适当的筛选模型对药物开发至关重要。斑马鱼的基因同源性高,几个器官的发育与人类相似。便于获得充足的胚胎和幼鱼,用于全球系统研究和药物筛选。虽然组学研究已经应用于Nur77 mice,但整个动物转录组,特别是代谢改变仍然不清楚。在目前的研究中,我们首先生成了nur77基因敲除的斑马鱼,并利用整个斑马鱼幼鱼进行了RNA测序(RNA- seq)分析。转录组结果可以让我们对缺乏nur77时基因表达的改变有一个全局的认识。我们的目标是阐明nur77斑马鱼的综合代谢改变。此外,nur77敲除突变系应该有助于nur77相关代谢调节的进一步机制研究和药物筛选。
方法与试剂
斑马鱼(Danio rerio)在循环水培养系统(上海海升生物技术有限公司,上海,中国)中培养,水温28℃,光照14h,黑暗10h。胚胎从自然培养中获得,按照Kimmel等人的方法在28.5°C的胚胎培养基中培养。本研究以AB株、nur77突变体斑马鱼、Tg(gega:GFP)、Tg(Ins:H2BmCherry)(41)和(Tg Ins:GCaMP6s: eGFP)转基因系为研究对象。所有程序均已厦门大学动物护理与利用委员会(协议号:No. 539)批准。2016年3月10日XMULAC20160089号)。
利用CRISPR/Cas9技术建立nur77基因敲除斑马鱼
利用CRISPR/Cas9技术对斑马鱼胚胎进行基因组编辑。利用在线工具CRISPRscan设计sgRNA靶点(CCGGGCAGCTGGACTCCTTC)。用T7试剂盒(MAXIscript T7 Transcription kit, Invitrogen, Carlsbad, CA, USA)合成sgRNA,用RNA纯化试剂盒(RNA Clean and Concentrator-5, Zymo Research, Irvine, CA, USA)纯化sgRNA。然后将sgRNA和Cas9蛋白(NEB,中国北京)共注射到单细胞期胚胎中。提取胚胎基因组DNA,评估基因组编辑效率。采用聚合酶链反应(PCR)扩增CRISPR靶位点周围的基因组区域,电泳凝胶图像检测突变位点(引物序列5′~ 3′端为ECTCCCTCTTCAGCTCAGAGTTTCT, R:TGCAGATGCCGGACTTCCA)。将突变体FO代培养至性成熟,与AB型斑马鱼交配获得Fl代。提取Fl代的基因组DNA,通过PCR扩增CRISPR靶位点周围的基因组区域,测序得到13 bp基因(突变序列ACCTCCGGGCAGC)的单突变斑马鱼。进一步杂交获得nur77突变体的斑马鱼品系。
RNA提取,cDNA文库制备和测序
使用TRIzol试剂(Thermo Fisher Scientific, Waltham, MA,USA)从40只斑马鱼幼鱼中提取总RNA,重复三次。为了去除任何基因组DNA污染,使用RQI RNase-Free DNase (Promega, Madison, WI,USA)纯化RNA。每个样品的浓度和质量由Agilent RNA6000纳米试剂盒在Agilent 2100生物分析仪(Agilent Technologies, Santa Clara, CA,USA)中测定。所有样品的RNA质量分数(RIN/RQN)均为10。每个样品的mRNA通过寡聚体(dT)珠选择构建cDNA文库。用N6随机引物将总mRNA片段逆转录成双链cDNA (Ds cDNA)。合成的双链cDNA经过末端修复、5′端磷酸化和3′端腺苷化。然后将剪接连接到3'端腺苷酸cDNA片段。将连接产物进行PCR扩增以丰富cDNA模板。将这些PCR产物变性后,将单链DNA环化,形成最终的cDNA文库。所有cDNA文库在BGISEQ-500RS平台(华大基因,深圳,中国)上按照制造商的标准协议进行测序。
RNA序列数据的生物信息学分析
原始数据经BGISEQ-500质控测试,使用SOAPnuke软件过滤成干净读数。该过程丢弃含有适应序列的读出,含有未知碱基“N”大于10%的读出,以及低质量读出(读出中低质量碱基的百分比大于50%)。过滤后,将干净的读数与斑马鱼基因组(Danio rerio, GRzhll,http://asia.ensembl.org/Danio_rerio/Info/Index),使用HISat(v2.0.4)。经过比较,使用斑马鱼单基因清洁读取的Bowtie2和RSEM (RNA-Seq by Expect Maximization),通过使用fragments per kilobase per million (FPKM)方法(fragments per kilobase transcript/million测序片段)来量化基因表达。此外,在Ensembl (www.ensembl)中对一些未识别的基因进行了注释。org)通过BLAST和Synteny分析。这些序列数据存储在NCBI数据库中,可通过BioProject ID: PRJNA801348。
差异表达基因分析
DESEQ2用于鉴定差异表达基因(DEGs)。将差异倍数为22.00且校正后p值为0.05的基因作为有统计学意义的DEG。对于重复样本,在变化倍数为22.00,概率为20.80的条件下,利用NOISEO计算每个基因在每次比较中的log2倍数变化(Log2FC)和概率。利用基因本体论(GO)和京都基因与基因组百科全书(KEGG)数据库进行通路富集分析。显著富集的基因为q值为S0.001、FDR为s0.01的基因。
定量RT-PCR
采用定量RT-PCR (qRT-PCR)技术对DEGs进行验证。提取的RNA用寡核苷酸引物(dT) 和M-MLV (Promega)逆转录,合成cDNA第一链。qRT-PCR反应在Agilent AriaMx系统(Agilent Technologies)中使用PowerUp SYBR Green Master Mix (Thermo Fisher Science)进行。扩增程序为95℃10 s, 60℃30 s,共40个循环。我们使用了三组野生型或nur77样本,每个样本在三个平行副本中进行测试。本实验采用2−ΔΔCt法计算mRNA水平,以β-actin水平作为内参照,计算各基因相对于内参照的水平(倍数)。这些数据由每组3个生物样本的平均值提供。qRT-PCR中使用的引物列于补充表S1中。
2-[N-(7-Nitrobenz-2-oxa-1 3-Diazol-4-yl)氨基]-2-脱氧- d -葡萄糖(2-NBDG)摄取试验
将受精后6天左右的斑马鱼幼鱼(dpf)在含有600 μM 2NBDG (B6035, Apexbio, Houston, Texas, USA)的0.3倍Danieau溶液中孵育3小时,然后麻醉,立即在M205FCA显微镜(Leica, Wetzlar, Germany)下成像。最后,根据Lee et al.,利用斑马鱼眼球晶状体的荧光强度来指示葡萄糖摄取。
游离葡萄糖的测定游离葡萄糖
采用葡萄糖检测试剂盒(Red glucose / glucose Oxidase Assay kit, Invitrogen, Carlsbad, CA, USA)测定。10只幼鱼在100 ul样品缓冲液中匀浆,离心后吸收上清。按照生产厂家说明,测定相当于1只幼鱼(10 μl匀浆)的游离葡萄糖。每个样品至少有3个独立的生物重复。
总胆固醇和总甘油三酯的测定
采用总胆固醇检测试剂盒(A111-1,南京建成生物工程研究所)和甘油三酯检测试剂盒(Al10-1-1,南京建成生物工程研究所)测定斑马鱼的总胆固醇。随机选取30条6日龄斑马鱼幼鱼从野生型(WT)和nur77−/−组中收集。每组有3个独立的生物重复序列。总胆固醇根据试剂盒说明书测定总甘油三酯。
氨基酸测定
随机收获WT组和nur77组6dpf胚70个,每组3个独立的生物重复序列。样品在6 NHCl中冷冻干燥,110℃下水解24 h,加入蒸馏水调节体积至10 ml, 1 ml水解液用氮气吹干,悬浮在1 ml 0.02 M HCl中。样品重悬后,用0.22 um滤膜过滤,用日本千代田日立L8900氨基酸自动分析仪(千代田日立,东京,日本)测定氨基酸组成。幼鱼体内的氨基酸以微克/毫克湿组织表示。
GCaMP6s图像采集与分析
对分离的胰岛进行GCaMP6s测定Tg (Ins: H2BmCherry);Tg(Ins:GCaMP6s)和nur77−/−;Tg (Ins:H2BmCherry);Tg(Ins:GCaMP6s)转基因动物在6dpf。将分离的胰岛分别包埋于含5和20 mM葡萄糖的细胞外液(ECS)中。利用Leica SP8对葡萄糖刺激的Ca2+内流进行成像,并通过Image J进行分析。
β细胞计数
在4°C的4%多聚甲醛中过夜固定后,用1倍PBS加0.1% Tween-20 (PBST)洗涤,并在Aqua-Mount (Richard-Allan Scientific, Kalamazoo, MI, USA)中平装,使其右侧面向盖盖。将幼鱼压平,只是为了稍微破坏胰岛,以便更好地分辨β细胞。根据mCherry信号,使用x40透镜下的蔡司Axiolmager或x40透镜下的蔡司LSM710共聚焦投影(Carl Zeiss, Oberkohen, baden-Wurberg, Germany)对β细胞计数。
胰岛素免疫荧光染色
将6 dpf左右的幼鱼固定在4%多聚甲醛中,4℃过夜。经冲洗、脱水、再水合和丙酮处理后,将幼鱼置于块液(5% FBS in PBDT, 1倍PBS, 0.1% Tween-20, 1% DMSO)中室温孵育2小时。本研究使用的一抗为抗胰岛素(豚鼠,Dako A0564, 1:10 00在2% FBS PBDT中),在4°C下过夜(O/N)。在PBDT中冲洗4倍10分钟后,幼鱼与二抗(山羊抗豚鼠,Invitrogen Al1075, 1:10 00在2% FBS PBDT中)在室温下孵育2小时。幼鱼在Aqua-Mount中平装,使用蔡司LSM710成像。
转基因系的建立
Tg(Ins: Nur77;利用minitol2转座子系统构建cmlc2:eGFP)转基因细胞系。使用多位点Gateway系统组装转基因。扩增人Nur77 cDNA并亚克隆至pME-p5E-Ins、pME-Nur77和p3E-MCS,然后组装到pDestTol2-CG2目的载体中,获得Tg的最终转基因(ins Nur77;cmlc2:eGFP)。cmlc2:EGFP元件用于转基因载体的鉴定。Tg质粒(ins:Nur77;cmlc2:eGFP)与Tol2转座酶mRNA(各25 ng/ul)混合,并使用描述的标准方案注射到单细胞期斑马鱼胚胎中。
采用PCR方法检测Ins-Nur77-F:5'CCACCACCATATCCACCATT-3'Ins-Nur77-R:5'TCTTCTCCGCCCACTTGC-3'的eGFP表达。
统计分析
所有原始数据均采用GraphPad prism8软件(GraphPad软件,La Jolla, CA, USA)进行分析。结果以均数SEM表示。用于统计分析的数据集没有排除离群值。统计采用单因素方差分析,然后进行Bonferroni事后检验或t检验(SPSS)。P <0.05为显著性。
敲除斑马鱼Nur77基因CRISPR/Cas9
在斑马鱼基因组中,只有一个与人类Nur77同源的基因,我们将其命名为Nur77。为了阐明Nur77在斑马鱼中的功能,我们利用CRISPR/Cas9技术生成了Nur77突变斑马鱼。我们得到了一个稳定的突变系,在nur77的外显子上有13bp的缺失(图1A)。该突变导致读框移位和过早终止密码子,破坏了Nur77蛋白的所有已知功能域(图IA;补充图S1)。qRT-PCR分析显示nur77 mRNA水平在nur77斑马鱼中显著降低(图1B)。突变体mRNA水平的降低可能是由于无义介导的mRNA衰变。然后,我们评估了nur7斑马鱼在不同发育阶段的形态学变化。然而,在12、24、48、72和144 hpf阶段,野生型和nur77−/−斑马鱼之间没有明显的形态学表型差异(图1C)。此外,成年nur77在形态上正常且可受精(数据未显示)。

图1 利用CRISPR/Cas9敲除斑马鱼nur77基因。(A) Crispr-Cas9靶点和突变等位基因示意图。Nur77由6个外显子(带框)组成。sgRNA目标外显子1,目标区域的序列与所选等位基因对齐。目标位点用红色字体表示,PAM位点用蓝色字体表示。获得的nur77-/-斑马鱼突变体缺少13个bp碱基,导致蛋白质翻译子过早停止。(B)通过qRT-PCR分析验证nur77的表达水平n=3);t检验P < 0.05。(C) 12、24、48、72、144 hpf发育阶段WT和nur77-/-的形态。比例尺表示750 μm。
野生型和nur77−/−幼鱼的转录组
为了进一步探索Nur77在斑马鱼中的功能,我们对6dpf野生型和nur77−/−幼鱼的总RNA进行了高通量RNA测序(RNA-seq)。这些样本共产生2152万(M)对总原始reads,共检测到25,9235个基因。平均基因定位率为73.3%(72.2%-74.5%),基因唯一定位率在64.4% - 66.0%之间。主成分分析(PCA)表明,与野生型对照相比,nur77-/-突变体数据集聚类明显(图2A)。使用调整后的值SD.001的2倍变化阈值来定义DEGs。比较两种基因型发现580个DEGs,其中nur77-/中190个上调,390个下调(图2B;补充表S2)。所有差异表达基因均进行了GO功能注释,并被划分为生物过程(BPs)、细胞组分(CCs)和分子功能(MFs) 3个主要功能类别。“细胞过程”(20%)、“代谢过程”(14%)和“生物调节”(11%)是BPs涉及的主要项目(补充图2A)。“细胞”(27%)、“膜”(20%)和“细胞器”(10%)是CCs的前3类(补充图2B)。“结合”(52%)和“催化活性”(26%)是MFs的主要亚类(补充图2C)。为了更好地了解nur77−/−幼鱼中go注释的DEGs,我们将其中的580个DEGs进行了KEGG数据库的经典信号通路分析。如图2C所示,这些DEGs显著富集于44条不同的信号通路,这些通路与代谢、人类疾病、生物系统、细胞过程、遗传信息处理和环境信息处理最为相关。由于代谢相关通路最为丰富,Nur77已知在多种代谢相关和能量需求的组织和细胞器中表达,包括肝脏、骨骼肌、脂肪、心脏和大脑。然后,我们在下面进一步分析了这些途径。

图2 nur77-/-突变体斑马鱼RNA-seq (RNA测序)分析,(A) 3个野生型和3个nur77-/-突变体RNA-seg数据集的主成分分析(PCA)图,使用主成分1 (PC1)和主成分2 (PC2)进行分析。(B)nur77-/-突变体和对照幼鱼差异基因表达分析的火山图,显示了p值和对数褶变化之间的关系。红色表示基因上调,蓝色表示基因下调。(C)京都基因与基因组百科全书(KEGG)通路中DEGs的富集分析。y轴表示途径,x轴表示DEGs数量。
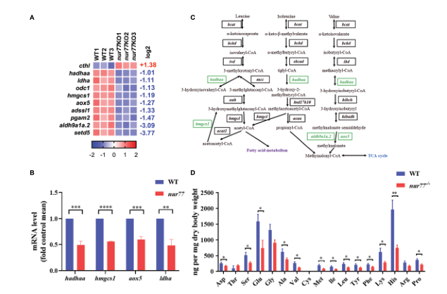
斑马鱼中Nur77的敲除受损的氨基酸代谢
对于氨基酸代谢,在10条氨基酸代谢通路中确定了10个DEGs(图3A)。为了进一步评估RNA-seq数据,我们采用qRT-PCR检测了所选的氨基酸代谢相关基因(hadhaa, hmgcsl, aox5和ldha)。我们的qRT-PCR结果与RNA-seq数据一致(图3B)。在这10个DEGs中,有4个参与了缬氨酸、亮氨酸和异亮氨酸的降解(ko00280)(图3C;补充表S3),包括羟酰基CoA脱氢酶三功能多酶复合体亚单位α a (hadhaa)、羟甲基戊二酰CoA合成酶1 (hmgcs1)、乙醛脱氢酶家族9成员A1 (aldh9a1a.2)和乙醛氧化酶(aox5)。hahaa是线粒体三功能蛋白的双功能亚基,负责长链脂肪酸的线粒体b氧化。hmgesl催化HMG-CoA的合成。上述基因参与缬氨酸、亮氨酸和异亮氨酸的降解途径,并参与这些氨基酸的生糖和生酮过程。
据我们所知,Nur77与氨基酸代谢之间的关系几乎没有报道。为了进一步检测Nur77在氨基酸代谢中的作用,测定了整个幼鱼的总氨基酸组成。如图3D所示,缬氨酸(Val)、亮氨酸(Leu)、异亮氨酸(Ile)均降低。这三种氨基酸水平的降低可能与缬氨酸、亮氨酸和异亮氨酸降解途径中基因表达水平的降低有关(图3C)。此外,除了酪氨酸(Thr)、半胱氨酸(Cys)和精氨酸(Arg)之外,我们测定的许多其他氨基酸均减少(图3D)。所有这些数据表明,在nur77−/−幼鱼中氨基酸代谢失调。

图3 Nur77调节斑马鱼幼体的氨基酸代谢。(A)氨基酸代谢富集转录本热图。颜色代表高(红色)、低(蓝色)或平均(白色)的表达值,基于每个基因的z分数-每千碱基每百万映射读取(FPKM)值的归一化片段,z分数指标显示在每个图下。右边显示的是折叠变化(log2)。(B)通过qRT-PCR分析验证氨基酸代谢类别中差异表达基因的表达水平(n = 3)。(C)缬氨酸、亮氨酸和异亮氨酸降解受到干扰。阻断区代表转录编码酶。绿色块代表下调的基因,黑色块代表未改变的基因。(D) WT和nur77-/-胚胎的氨基酸组成。结果用均数表示,标准误差n3): p<0.06;"p<0.01: p<0.001,经t检验p<0.0001。
敲除Nur77损伤斑马鱼脂质代谢
11条脂质代谢途径中的16个EDG被富集(补充表S4;图4)。其中5个参与类固醇生物合成通路(ko00100), 4个参与甘油脂代谢通路(ko00561)(补充表S4)。qRT-PCR分析结果与选定的脂质代谢基因(ugt5al、cyp2p9、hadhaa、cyp51、sc5d、hmgcs1、Iss、lipca和sqlea)一致(图4B)。有趣的是,所有参与胆固醇生物合成途径的DGEs都下调了(图4C)。角鲨烯环氧酶a (sqlea)催化胆固醇生物合成的第一个氧合步骤,并被认为是该途径的限速酶之一。甲基甾醇单加氧酶1 (msmol)在肝脏胆固醇生物合成中起作用。cyp51(固醇14a-去甲基化酶)作为一种细胞色素P450,对固醇的生物合成反应至关重要,并在临床中作为药物靶点。羊毛甾醇合成酶(Iss)催化(S)-2,3氧化角鲨烯转化为羊毛甾醇,是胆固醇、类固醇激素和维生素D生物合成中必不可少的限速酶。甾醇- c5 -去饱和酶(sc5d)在胆固醇生物合成中将胆甾醇转化为7脱氢胆固醇,在肝脏中普遍表达。这些基因的所有改变表达都反映了胆固醇合成代谢的减少。
虽然有报道称,喂食高脂肪饮食的Nur77缺失小鼠更容易肥胖,并且Nur77在肝脏和肌肉的脂质代谢调节中具有重要作用,但脂质含量的全身变化尚不清楚。在这里,我们比较了野生型和nur77−/−幼鱼之间的TC和TG含量。nur77−/−幼鱼的TC和TG显著升高,如图4D、E所示。nur77−/−较高的胆固醇水平可能抑制了胆固醇的合成代谢,从而降低了胆固醇生物合成途径基因的表达(图4D)。综上所述,这些数据表明Nur77敲除损害了斑马鱼的脂质代谢。

图4 Nur77调节斑马鱼幼体的脂质代谢。(A)脂质代谢富集转录本热图。颜色代表高(红色)、低(蓝色)或平均(白色)表达值,表达值基于每个基因的每千碱基每百万映射读取(FPKM)值的z评分归一化片段。Z-score指标显示在每个图谱的下方。折叠变化(log2)显示在右边。(B)通过gRT-PCR分析验证脂质代谢类别中差异表达基因的表达水平(n=3)。(C)受干扰的胆固醇生物合成。阻滞区代表转录编码酶。绿色块代表下调的基因,黑色块代表未改变的基因。(D) WT和nur77-/-斑马鱼(n-3)的全身胆固醇(TC)含量。(E) WT和nur77-/-斑马鱼的全身总甘油三酯(TG)含量。结果用标准误差的平均值表示(n=3);P <0.05, P <0.001, t检验p < 0.0001。
敲除Nur77会损害斑马鱼的碳水化合物代谢
在12个碳水化合物代谢途径中有4个上调的deg和15个下调的deg参与(补充表S5;图5 a)。我们选择的碳水化合物代谢基因的qRT-PCR结果与RNA-seq数据一致(图5B)。在富集的通路中,前2位为糖酵解/糖异生(ko00010)(9个基因)和胰高血糖素信号通路(ko04922)(6个基因),均参与糖代谢(补充表S5)。在糖酵解/糖异生通路中,所有DEGs的表达水平均降低,包括葡萄糖激酶(gck);丙酮酸激酶肌b (pkmb);磷酸果糖激酶,肌a/b (pfkma/b);葡萄糖-6-磷酸异构酶b (gpib);乳酸脱氢酶A;磷酸甘油酸变位酶(pgam2)、类乙酰辅酶a羧化酶(accl);乙醛脱氢酶9串联重复序列2 (tandem duplicate 2, aldh9a1a.2);乙酰辅酶a羧化酶样醛缩酶a、果糖二磷酸(aldoaa)(图5C)。Gck、pkmb和pfkma/b是糖酵解/糖异生途径中的关键酶。GCK是己糖激酶家族的一员,它在胰腺β细胞和肝细胞中磷酸化葡萄糖以产生葡萄糖-6-磷酸。Pfkma /b是磷酸果糖激酶的一种异构体,通过糖酵解途径将果糖-6-磷酸转化为果糖-1,6-二磷酸。pkmb催化磷酸烯醇丙酮酸和ADP转化为丙酮酸和ATP,这是糖酵解的最后一步。综上所述,这些数据揭示了斑马鱼的Nur77缺陷导致碳水化合物代谢紊乱,尤其是在葡萄糖代谢方面。
为了证实RNA-seq的数据,我们随后测定了野生型和nur77−/−幼鱼的总游离葡萄糖。如图5D所示,nur77−/−的葡萄糖水平显著高于野生型。游离葡萄糖升高可能是由于糖酵解/糖异生障碍,葡萄糖摄取受损,胰岛素分泌减少。由于信号通路分析表明糖酵解/糖异生通路受损(图5C),因此我们进一步研究了nur77−/−斑马鱼的葡萄糖摄取功能,并根据Lee等人进行了2-NBDG摄取测定。正如晶状体的荧光强度所示,在nur77−/−组中,葡萄糖摄取没有显著增加(图5E, F)。这些数据表明,较高水平的游离葡萄糖在nur77−/−幼鱼不是由于葡萄糖摄取,但可能受到糖酵解/糖异生或β细胞功能的影响。

图5 Nur77调节斑马鱼幼体的碳水化合物代谢。(A)碳水化合物代谢富集转录本的热图。颜色代表高(红色)、低(蓝色)或平均(白色)表达值,表达值基于每个基因的每千碱基每百万映射读取(FPKM)值的z评分归一化片段。Z-score指标显示在每个图谱的下方。折痕变化(og2)显示在右侧。(B)通过qRT-PCR分析验证碳水化合物代谢(n-3)类别中差异表达基因的表达水平。(C)受干扰的糖酵解/糖异生。块表示转录编码酶。绿色块代表下调的基因,黑色块代表未改变的基因。(D) WT和nur77-/-斑马鱼的总游离葡萄糖含量(n3)。(E)野生型和nur77-/-突变体幼鱼2-NBDG葡萄糖摄取;葡萄糖摄取水平由荧光显微镜成像的晶状体(箭头)的荧光表示。对照组采用Wildtype和不含2-NBDG的nur77(上图)。(F)根据图像测量眼睛荧光强度。WT和nur77-/-斑马鱼幼鱼荧光强度的定量测定。结果用均值表示,标准误差n= 3);n = 3,无显著性;“p< 0.05”,p< 0.01,p<0.001, p<0.0001经t检验。
敲除Nur77损伤斑马鱼β细胞功能
然后我们转向分析RNA-seq数据中胰岛素信号通路中的EDG。有趣的是,insb、gck和accl显著降低(图6A)。我们进一步通过qRT-PCR证实了nur77−/−幼鱼中insb的表达水平下降,而insa的表达水平没有下降(图6B, C)。接下来,我们通过免疫荧光法评估胰岛素含量。从图6D、E中,我们发现nur幼鱼的胰岛素含量明显低于野生型幼鱼。我们进一步研究了nur77−/−斑马鱼的b细胞质量是否有变化。我们将nur77−/−与b细胞报告系杂交Tg(Ins:H2BmCherry)。nur77−/−中β细胞数量明显减少;Tg(Ins: H2BmCherry)(图6F, G)。此外,为了测量胰岛素分泌,使用钙内流报告线的实时成像Tg(Ins: GCaMP6s)。当胰腺β细胞响应葡萄糖分泌胰岛素时,钙的内流导致绿色荧光发射增加。而且,荧光强度与胰岛素分泌量成正比。如图6H、1所示,用5 mM葡萄糖ECS溶液处理6 dpf斑马鱼胚胎时,两种Tg(Ins:H2BmCherry)的绿色荧光无明显差异;Tg(Ins:GCaMP6s)和nur77−/−;Tg(Ins: H2BmCherry): Tg(Ins:GCaMP6s)。而经20 mM葡萄糖ECS溶液刺激后,在Tg中产生强烈的绿色信号(Ins:H2BmCherry);Tg(Ins:GCaMP6s),但在nur77−/−中荧光弱;Tg(Ins:H2BmCherry);Tg(Ins: GCaMP6s)(补充视频1,2)。综上所述,这些数据表明敲除nur77会损害β细胞功能,包括insb表达下调、β细胞质量减少和胰岛素分泌抑制。


图6 Nur77调节斑马鱼幼鱼胰岛素分泌和β细胞数量。(A)胰岛素信号通路转录本热图。颜色代表高(红色)、低(蓝色)或平均(白色)表达值,基于每个基因的每千碱基每百万映射读取(FPKM)值的z分数归一化片段。(B, C) WT和nur77-/-斑马鱼幼鱼中胰岛素基因的qRT-PCR表达水平验证,(B) insa (n = 3), (C)和insb (n = 3)。(D, E) WT和nur77-/-斑马鱼幼鱼中胰岛素含量。(D)对照和nur77-/-α细胞和β细胞的代表性荧光图像;用Tg(gcg:eGFP)标记α细胞为绿色荧光,用胰岛素抗体免疫染色标记β细胞为红色荧光。(E)对照和nur77-/-的β-细胞荧光强度定量。幼鱼数(n = 12~18)。(F, G) Tg(Ins:H2BmCherry)和nur77-/-;Tg(Ins:H2BmCherry)斑马鱼幼鱼胰腺β细胞数量。(F) 6 dpf时β细胞(红色)在Tg(Ins:H2BmCherry)和nur77-/-;Tg(Ins:H2BmCherry)中的数量的代表性图像。(G)测定4 ~ 7 dpf斑马鱼幼鱼(n = 19~50) Tg(Ins:H2BmCherry)和nur77-/-;Tg(Ins:H2BmCherry)中β-细胞数量。(H, I)葡萄糖刺激β细胞中Tg(Ins:H2BmCherry)、Tg(Ins:GCaMP6s)和nur77-/-、Tg(Ins:H2BmCherry)、Tg(Ins:GCaMP6s)的GCaMP6s反应。(H) GCaMP6s在β细胞中对Tg(Ins:H2BmCherry)、Tg(Ins:GCaMP6s)和nur77-/-、Tg(Ins:H2BmCherry)、Tg(Ins:GCaMP6s)在5或20 mM葡萄糖ECS溶液中反应的代表性图像;绿色信号为GCaMP6。(I)定量测定β细胞中Tg(Ins:H2BmCherry)、Tg(Ins:GCaMP6s)和nur77-/-nur77-/-、Tg(Ins:H2BmCherry)、Tg(Ins:GCaMP6s)对GCaMP6s的响应(GFP荧光强度)。结果用标准误差的平均值表示(n = 13~20);n,没有意义;* * * * * p < 0.01, p < 0.001, t * * * * p < 0.0001。
β细胞中单独表达Nur77足以挽救nur77−/−突变体的缺陷
接下来,我们想知道仅仅在β细胞中表达Nur77是否足以挽救nur77−/−突变体的β细胞缺陷。我们生成了一个转基因系Tg(Ins:Nur77;cmlc2:eGFP),其目标在斑马鱼β细胞中仅在斑马鱼胰岛素启动子控制下表达人类Nur77 cDNA, cmlc2启动子驱动的eGFP被用作转基因载体的指示(图7A)。有趣的是,当Nur77在野生型背景下的β细胞中靶表达时,β细胞数量没有变化(对照与Tg(Ins: Nur77))(图7B, C)。然而,在nur77突变背景下,nur77−/−;Tg(Ins: nur77);Tg(Ins:H2BmCherry)显著增加了b细胞数量,其数量与对照组相似(图7B, C)。此外,当我们通过免疫荧光测定胰岛素含量时,我们发现nur77−/−Tg(Ins: nur77)幼鱼显著恢复了它们的胰岛素荧光强度(图7D, E)。其游离葡萄糖水平也恢复到对照组的相似水平(图7F)。这些数据表明,β细胞功能受损可能与nur77的缺失有关。


图7 β细胞中靶向表达Nur77可恢复斑马鱼β细胞数量和胰岛素含量。(A) Tg(Ins: Nur77;cmlc2:eGFP)转基因系及其表达模式。Nur77的表达由斑马鱼胰岛素启动子控制,cmlc2驱动的eGFP被用作转基因载体的指示。(B, C) β细胞数量在Tg(Ins:H2BmCherry)、nur77-/-、Tg(Ins:H2BmCherry)、Tg(Ins: nur77)、Tg(Ins:H2BmCherry)、nur77-/-中的代表性图像(B)和定量(C);Tg(Ins: Nur77);Tg(Ins:H2BmCherry)斑马鱼幼鱼。幼鱼数(n = 20~30)。(D, E) Tg(gcg:eGFP)、nur77-/-、(gcg:eGFP)、Tg(Ins: nur77)、Tg(gcg:eGFP)和nur77-/-的β细胞胰岛素荧光强度的代表性图像(D)和定量(E);Tg(Ins: Nur77);Tg(gcg:eGFP)斑马鱼幼鱼。用Tg(gcg:eGFP)表示胰腺α细胞,用胰岛素抗体免疫染色用红色荧光表示胰腺β细胞(n = 12~15)。(F) Tg(gcg:eGFP)、nur77-/-、(gcg:eGFP)、Tg(Ins: nur77)、Tg(gcg:eGFP)、nur77-/-中游离葡萄糖的总含量;Tg(Ins: Nur77);Tg(gcg:eGFP)斑马鱼幼鱼(n = 3). ns,无统计学意义;单因素方差分析**p < 0.01, **p < 0.001。
我们进一步分析了在四个簇中表达的顶级标记基因,发现一些基因主要特异性地表达在其中一个簇中,例如,tectb在簇5,zpld1a在簇12,cal1b在簇0和簇7(图3B, S3)。功能富集分析显示,上述4个细胞簇中表达的很多基因具有毛细胞相关的生物学功能(图3C-F),这表明这些细胞是毛细胞。为了进一步确认毛细胞的聚类和注释,我们进行了全载原位杂交(WISH)。zpld1a基因主要在嵴毛细胞中表达,根据我们的分析,嵴毛细胞被认为位于簇12(图3H),这与之前的研究一致。至于簇0和7的细胞,虽然都是神经肥大毛细胞,但它们之间存在差异。根据成熟和年轻毛细胞标志物s100s和prox1a在两个簇中的表达情况,簇0的细胞被归类为成熟神经肥大毛细胞,簇7被归类为年轻神经肥大毛细胞(图S4)。
另一方面,我们分析了支持细胞的标记基因klf17,发现它主要表达在簇1的细胞中(图S5),这表明这一簇细胞是支持细胞。同样,我们还分析了据报道在套细胞中表达的基因,如tnfsf10、ponzr6、pkhd1l1、fat1b、crb3b、cts12、ovgp1和cldne,发现高水平表达这些基因的细胞聚集在簇9中(图S6)。然而,它们表达了一些已被证明在毛细胞中特异性表达的基因,如myo6b、myo7aa(图S7),这提出了它们是可以分化为毛细胞的支持细胞的可能性。因此,我们得出结论,来自簇1和9的细胞分别是支持细胞和套细胞,来自簇14的细胞可能是毛细胞祖细胞。
讨论
讨论与结论肥胖症、非酒精性脂肪性肝病、动脉粥样硬化、糖尿病等代谢性疾病在世界范围内日益增多,正在成为一个全球性的健康问题。因此,迫切需要开发新的治疗方法和新的药物靶点。越来越多的证据证明,孤儿核受体Nur77参与多种代谢过程,特别是碳水化合物代谢和脂质代谢。虽然Nur77是一个孤儿核受体,几个小分子已经被确定为Nur77。代谢方面,CsnB来自dothiirella sp. HTF3已经发现靶向Nur77以增加空腹小鼠的血糖。我们之前的研究发现,另一种Nur77激动剂celastrol可以显著降低HFD小鼠的体重、脂肪组织质量和脂肪细胞大小。因此,Nur77作为代谢性疾病的新药物靶点可能具有很大的潜力。为了全面了解Nur77和代谢,以及筛选小分子药物,我们制作了Nur77敲除斑马鱼,并应用RNA-seq分析揭示了Nur77的代谢调控网络。虽然氨基酸缺乏会诱导nur77相关的网状吞噬来维持细胞内氨基酸水平,但没有关于nur77调节氨基酸代谢的研究报道。这是第一次给出nur77相关氨基酸调控的改变基因的全局视图。在我们的研究中,几个关键氨基酸代谢基因的转录水平显著降低(图3A)。这些基因不仅在氨基酸代谢途径中发挥功能,而且在葡萄糖和脂质代谢中也发挥作用。例如,hahaa, hmgcsl, aldh9ala。2、aox5(图3C)均在缬氨酸、亮氨酸、异亮氨酸降解途径中;然而,这些途径的下游分子与脂肪酸代谢和三羧酸循环(TCA循环)相互串扰。因此,Nur77参与了细胞内氨基酸、脂质和碳水化合物代谢途径的串扰。多项研究揭示了Nur77信号通路在调节哺乳动物脂质代谢中的重要作用。类似地,我们还观察到nur77 null幼鱼的脂质代谢功能障碍,表明胆固醇、甘油脂、类固醇和脂肪酸代谢通路发生了改变(补充表S4)。DEGs中有5个参与胆固醇生物合成,包括lss、cyp51、sqlea、sc5d和hmgcs1(图4C)。此外,脂肪酸代谢中的4个DEGs富集,包括acc、ppt、hadhaa和aldh (Supplementary Table S4)。据报道,Nur77参与调节β-氧化,促进葡萄糖剥夺下黑色素瘤细胞的存活。也有报道称,Nur77在转录水平上调控卵巢卵泡细胞中的类固醇生成酶。这些基因在胆固醇生物合成和脂肪酸代谢中的表达水平变化可能与敲除nur77的斑马鱼TC和TG含量升高有关(图4D, E)。根据我们的数据,无论是在肝脏还是脂肪组织中,Nur77缺失小鼠在高脂肪饮食后,TC和TG都会升高。综上所述,Nur77功能的破坏导致脂质代谢异常。
19个EDG在碳水化合物代谢中富集,其中大部分与葡萄糖稳态有关(图5A)。的确,nur7斑马鱼突变体的总游离葡萄糖升高(图5D),正常血糖是通过中枢神经系统调节肝脏葡萄糖产生和肌肉和脂肪组织的葡萄糖摄取来维持的(6668)。导致血糖升高的因素有多种,如葡萄糖摄取增加、糖酵解减少、糖异生增加、胰岛素抵抗和胰岛素缺乏。通路分析表明糖酵解/糖异生通路受损(图5C)。参与糖酵解的基因,包括ldha、pkmb、pgam2和gok,在nur7斑马鱼突变体中都减少了,这表明糖分解代谢减少了。然而,参与糖异生的两种主要限速酶pepck和gopc在nur77斑马鱼中没有变化(图5C)。这些数据表明糖酵解的减少可能导致葡萄糖升高。此外,我们还通过2-NBDG摄取试验检测了葡萄糖摄取,但野生型和nur77斑马鱼之间没有显著差异(图5E, F)。
我们进一步证明,nur77−/−斑马鱼中葡萄糖的增加与β细胞功能受损有关(图6,7)。在敲除nur77的斑马鱼幼鱼中,β细胞数量显著减少(图6F, G)。此外,我们发现敲除Nur77下调了insb的表达。降低了斑马鱼β细胞中的胰岛素含量,并减少了胰岛素分泌(图6)。与我们的研究结果一致,研究报告了Nur77的整体敲除导致新生和幼龄小鼠b细胞面积减少。敲低Nur77抑制了Ins-1细胞系中ß-细胞的增殖,阻碍了线粒体中ATP的产生,从而抑制了葡萄糖刺激的胰岛素分泌。Nur77被认为可以防止活性氧(ROS)或内质网应激诱导的ß-细胞凋亡。然而,一项研究报道,Nur77的遗传缺失在小鼠的β细胞中与WT幼崽相比没有表现出任何形态学差异。然而,这一结论仅基于胰岛素免疫染色。
此外,我们证明了Nur77在β细胞中的靶向表达挽救了β细胞功能的缺陷,并恢复了正常的葡萄糖水平d图)。虽然Nur77调节b细胞功能的详细机制需要进一步阐明,但已有研究表明Nur77与许多重要的b细胞相互作用转录因子,如mafA和Nkx6.1。据报道,脂肪酸刺激增加了Nur77的表达,然后Nur77与FoxOl相互作用降低细胞内mafA蛋白的浓度,从而阻止胰岛素基因的激活,导致细胞内胰岛素浓度下降和胰岛素分泌受损。大鼠胰腺中Nkx6.1的过表达通过Nur77及其同源的Norl诱导β细胞增殖。Nur77在斑马鱼b细胞中的靶表达可以恢复ß-细胞功能,这可能是由于Nur77与这些β细胞转录因子一起重现。
结论
总之,我们对野生型和nur77−/−突变型幼鱼进行了全生物体RNA测序。通过生物信息学分析,我们发现与野生型相比,nur77−/−中代谢相关通路中许多基因的表达改变了两倍以上。这些基因主要与氨基酸、脂质和碳水化合物代谢有关。进一步通过实验方法,我们发现nur77−/−突变体表现出TC和TG增加,总氨基酸改变和葡萄糖升高。此外,我们证明葡萄糖升高不是由于葡萄糖摄取的改变,而是由糖酵解/糖异生障碍和ß-细胞功能受损引起的,包括insb表达下调、ß细胞质量减少和胰岛素分泌抑制。此外,我们还验证了在β细胞中靶向表达Nur77足以挽救全局nur77−/−突变体的β细胞缺陷。这些结果为调控Nur77信号的全球代谢网络以及Nur77在b细胞功能中的作用提供了新的信息。因此,nur77敲除斑马鱼模型将成为进一步研究nur77相关代谢调控机制和筛选nur77相关小分子化合物的系统、经济、有效的动物模型。
基金:本研究获得福建省自然科学基金(资助号:2020J01042 ~ JL 2019J01036 ~ YX)资助。国家自然科学基金资助项目(81670709至ML),福建省海洋生物技术重点实验室资助项目(2021MB02至ML),厦门市自然科学基金资助项目3502Z20184027。
本文章原文:Frontiers in Endocrinology | www.frontiersin.org
详细网址:https://www.frontiersin.org/articles/10.3389/fendo.2022.864631/full
注:因文章篇幅有限,所有相关引用文献,以及补充图、表可以点击至原文查阅。